Стоматология Подмосковье
150040, Россия, Ярославская область, Ярославль, ул. Некрасова, д.41
+7 4852 74-45-45 mail@mc-podmoskovie.ru
+7 (4852) 20-56-79

Имплантация от 1 зуба до полного зубного ряда за одно посещение в Ярославле

Нет зубов? Съемные протезы мешают жить?
Восстановим все зубы на имплантатах
за 1 день — с гарантией Nobel Biocare!

Без боли
За 1 день
Прозрачная цена
> 27 лет
на рынке
> 20 лет
стажа докторов
> 50 000
установленных имплантов
> 99,9%
приживаемость имплантов
Единственный в Ярославской области авторизованный центр All-on-4 Nobel Biocare
Входит в 10-ку клиник по ЦФО имеющих статус Center of Excellence-Центр клинического мастерства

ALL-ON-4

Один из лучших способов восстановления зубов, 
как на верхней, так и на нижней челюсти.

Во время процедуры устанавливаются специальные имплантаты, которые и возьмут на себя роль корня, после чего на них фиксируют индивидуально изготовленные зубные протезы.

Таким образом, имплантация All-on-4 поможет восстановить весь зубной ряд и при этом вернуть человеку возможность улыбаться по-голливудски ослепительно и открыто.

Консультация по имплантации методом All-on-4 за 1 800 ₽

Ваш первый шаг к новым зубам: меньше чем за час вы получите полную картину с чего начать лечение и когда вы сможете счастливо улыбаться!

Что входит в консультацию:
  • Диагностика у хирурга-имплантолога, осмотр ортопедом и точный анализ вашей ситуации двумя врачами по КТ снимкам*

    *Приносите свои или можно выполнить у нас в клинике по действующему прайсу

  • Ответы на все вопросы — понятный прогноз результата и процесса лечения
  • План «под ключ» — этапы работы, сроки и стоимость именно для вашего случая

Почему это платно?
Потому что квалифицированные и опытные врачи экономят ваше время, составляя комплексный план лечения с максимально точной картой пути реализации, сводя на нет вероятные ошибки и многократные коррекции, а также дополнительные финансовые расходы!

Итог:
Вы уходите с консультации не с «кашей» в голове, а с четким пониманием что нужно сделать, в какие сроки, по какой стоимости и с полным доверием выбранному врачу.

Нас выбирают потому что:

Авторизованный центр Nobel Biocare
Используем передовые технологии
Работаем с хирургическим шаблоном для 100% точности
Зубы за 1 день
С пожизненной гарантией 
на импланты, без боли и страха 
в седации или наркозе

Каким бы сложным не был случай, мы вам поможем!

Начните с консультации!

Этапы лечения

С Вами будет работать команда профессионалов из каждого стоматологического направления. Обеспечиваем сопровождение каждого этапа лечения. 

Гарантируем заботу до и после лечения

Этап 1
Консультация
Этап 2
Диагностика, 3D планирование установки имплантов и будущей конструкции
Этап 3
Хирургический этап
Продолжительность в зависимости от костных условий — 3-6 часов.
Может быть выполнена под внутривенной седацией или под общим наркозом, 
под контролем анестезиолога
Этап 4
Фиксация временной конструкции на импланты
В основном проводится в день операции 
или через 1-2 дня после хирургического вмешательства
Этап 5
Замена временной конструкции 
на постоянную
После периода интеграции имплантов
от 3 до 6 месяцев
Этап 6
Профосмотры и обслуживание имплантов
Раз в 6-12 месяцев для долгосрочного результата
Хирургический этап от 210 000 ₽

Подбор системы имплантатов и точная стоимость будет сформирована после консультации.

Наша цена отражает использование сертифицированных, легальных материалов, стремление сохранить ваши родные зубы и отказ от необоснованных удалений. Это гарантирует лучшее лечение и долгосрочный результат.

Не стоить делать выбор клиники опираясь исключительно на дисконтный прайс!

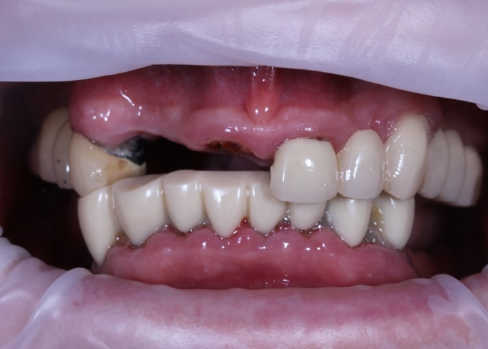
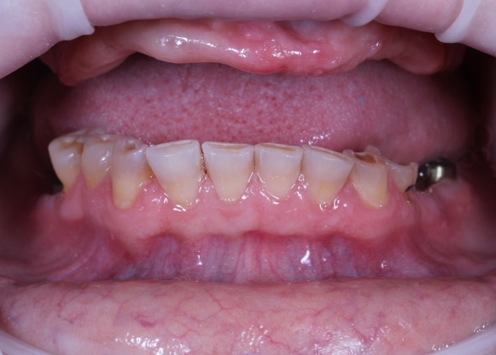
ДО/ПОСЛЕ

До После
До После
До После

All-on-4 — ваш короткий путь 
к идеальной улыбке

Без компромиссов. Без долгого ожидания. С гарантией результата, который говорит сам за себя.

All-on-4 от Nobel Biocare — это технология, которая:

  • Сводит к нулю риски и дискомфорт
  • Превращает месяцы лечения в один день
  • Дарит улыбку, которой можно гордиться сразу

Здесь каждая деталь — от 3D-планирования до финального  протеза — работает на ваш комфорт и уверенность.

Готовы узнать, как All-on-4 изменит вашу жизнь?

Съемные протезы
Опираются на десны, плоская фиксация за счет подвижной десны,  провоцируя убыль костной ткани 
и преждевременное старение, большой размер протезов, 
что вызывает дискомфорт
Несъемные протезы
Идеальная замена утраченных зубов! Хорошая фиксация за счет установленных имплантов, выглядят как естественные зубы, защищают кость и сохраняют молодость улыбки, небольшой размер, что вызывает комфорт и удобство

Команда врачей

В нашем центре работают опытные врачи, обеспечивающие профессиональный подход и индивидуальное внимание каждому пациенту.

Почему пациенты доверяют нам самое ценное — Свою улыбку?

У нас есть опыт, знания, команда. Мы не просто делаем имплантацию — мы задаем стандарты, работаем в последовательных протоколах, не нарушая этапов планирования, адаптации и непосредственно фиксации.

В Ярославской области только у нас статус единственного в регионе авторизованного центра Nobel Biocare:
Чтобы его заслужить, необходимо иметь в штате экспертов уровня мировых клиник. И они у нас есть!

Каждый этап — от диагностики до установки протеза — выполняется с ювелирной точностью, а результат предсказуем, благодаря современному оборудованию и квалификации сотрудников.

Мы гарантируем: - Оригинальные импланты и компоненты Nobel Biocare; - Работу по международным протоколам; - Пожизненную гарантию на импланты.

Временное протезирование — это стандарт качества.

Мы используем его, потому что:

  • Десна и кость меняют форму в первые месяцы после операции;
  • Протез защищает зону имплантации и обеспечивает правильное заживление;
  • Вы получаете эстетичную улыбку и возможность жевать сразу после операции.

Временный протез носится 3-6 месяцев.

За это время:

  • Костная ткань полностью интегрируется с имплантами;
  • Десна формирует красивый контур;
  • Мы корректируем конструкцию для идеального прилегания;
  • Вы привыкаете к новой улыбке еще до получения постоянного протеза.

Мы используем временные протезы как "тестовую модель":

  • Проверяем прикус и распределение нагрузки;
  • Корректируем форму будущего постоянного протеза;
  • Обеспечиваем плавную адаптацию без дискомфорта.

И только когда понимаем, что все красиво, удобно, правильно- переходим к постоянному протезированию.

Записаться на прием

Администратор перезвонит и согласует дату и время приема